
หน้าหลัก | สุขภาพดี | สุภาพสตรี | การแปลผลเลือด | โรคต่างๆ | ยารักษาโรค |วัคซีน | อาหารเพื่อสุขภาพ
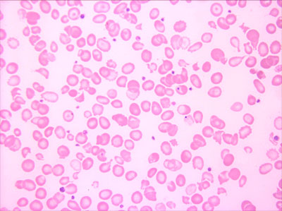
Poikilocytosis หมายถึงเซลล์เม็ดเลือดแดงที่มีรูปร่างแตกต่างกันโดยทั่วไปจะรายงานเป็น +(ตามด้วยตัวเลข)

การที่มีรูปร่างของเซลล์ที่แตกต่างกันเป็นตัวบ่งว่ามีปัญหาในการสร้างเม็ดเลือดแดง การตรวจจะตรวจด้วยกล้องจุลทรรศน์โดยผู้เชี่ยวชาญในห้องปฏิบัติการ อาจตรวจพบในเลือดของผู้ที่มีสุขภาพเลือดไม่ปกติว่า รูปร่างของเซลล์เม็ดเลือดแดงจำนวนหนึ่งผิดไปจากที่กล่าวในข้อที่ 1 กล่าวคือ อาจมีลักษณะเป็นรูปวงรี ไม่กลม หรือเป็นรูปมวนบุหรี่ หรือเป็นรูปหยดน้ำตา หรือเป็นรูปเคียว หรือเป็นรูปเครื่องหมายคอมม่าผู้ใดที่มีเม็ดเลือดแดง มีรูปร่างผิดปกติดังตัวอย่างเหล่านั้น ก็ต้องถือว่าอยู่ในสภาวะ "Poikilocytosis"
ความรุนแรงของ Poikilocytosis แบ่งออกดังนี้
Poikilocytosis ซึ่งจะมีรูปร่างได้หลายแบบสาเหตุ
Hemoglobin | Hematocrit | Red blood cell | Inclusion body | เม็ดเลือดแดง | Reticulocyte count | MCV | MCHC | MCH | ลักษณะเม็ดเลือดแดง | เกล็ดเลือด | เม็ดเลือดขาว | Neutrophil | Lymphocyte | Eosinophil | Monocyte | Basophil | Rh | กรุปเลือด