ปอดบวมจากเชื้อไวรัส Viral pneumonia
การอักเสบของปอดที่เกิดจากเชื้อไวรัส มักจะพบในเด็ก
ผู้ป่วยอาจจะเป็นไม่มากหรืออาจจะเป็นมากจนกระทั้งเสียชีวิต
เชื้อที่เป็นสาเหตุ

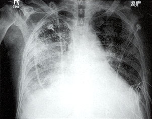
ผู้ป่วยปอดอักเสบจากเชื้อไวรัสชนิดรุนแรง จะพบมีฝ้าขาวที่ปอดข้างขวา |
- Respiratory
Syncytial Virus มักเป็นสาเหตุปอดอักเสบในเด็กเล็ก
- Varicella
ไข้สุกใสในเด็กอาจจะเกิดปอดบวมได้น้อยกว่า 1 %
แต่สำหรับผู้ป่วยที่เป็นผู้ใหญ่อาจจะพบได้ถึงร้อยละ 50
โดยเฉพาะผู้ป่วยที่มีภูมิคุ้มกันไม่ดี เช่น โรคมะเร็ง โรคเอดส์
ผู้ป่วยจะเกิดอาการหลังมีผื่น 1-6 วันจะมีอาการแน่นหน้าอก ไอเป็นเลือด
การตรวจร่างกายไม่พบอะไร
- Influenza
Virus ปอดอักเสบจากเชื้อไวรัสไข้หวัดใหญ่
แต่บางรายอาจจะรุนแรงถึงกับเสียชีวิตโดยเฉพาะผู้ป่วยที่มีโรคประจำตัว เช่น
โรคหัวใจ โรคปอด เบาหวาน
การวินิจฉัย
- การแยกเชื้อได้จากคอ โดยทั่วไปทำได้เฉพาะในโรงพยาบาลใหญ่ๆ
- ตรวจปฏิกิริยาน้ำเหลืองโดยการเปรียบเทียบระดับ antibody ถ้าระดับ antibody
ในช่วงพักฟื้นมากกว่าในช่วงเฉียบพลัน 4 เท่า
การรักษา
มียาหลายชนิดสำหรับรักษาปอดอักเสบที่เกิดจากเชื้อไวรัส เช่น
- เชื้อไขหวัดใหญ่ใช้ amantadine
- เชื้อไข้สุกใสใช้ Acyclovir
- เชื้อ CMV ใช้
ganciclovir